Article Content
Suffering From Bone Loss?
Estrada Dentistry has multiple solutions depending on the severity of bone loss.
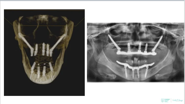
What is the All-on-4 treatment concept?
The All-on-4® treatment concept is a cost-efficient, graftless solution that provides patients with a fixed full-arch prosthesis on the day of surgery.
Characteristics include:
- Full-arch rehabilitation with only four implants
Two straight anterior implants and two implants tilted up to 45º in the posterior - Immediate Function (fixed provisional bridge)
For patients meeting criteria for immediate loading of implants - Graftless Procedure: Bone grafting is avoided by tilting the posterior implants, utilizing available bone.
Smile Again: Full mouth dental implants
Four implants can replace all of the teeth on the top or the bottom! Dental implant technology advances have paved the way for innovative new solutions.

surgery quickly leads to improved patient satisfaction – with regards to function,
aesthetics, sense, speech and self-esteem.

need for time-consuming bone grafting procedures, while immediate loading
shortens time-to-teeth.






